Haluksy o tym warto pamiętać!
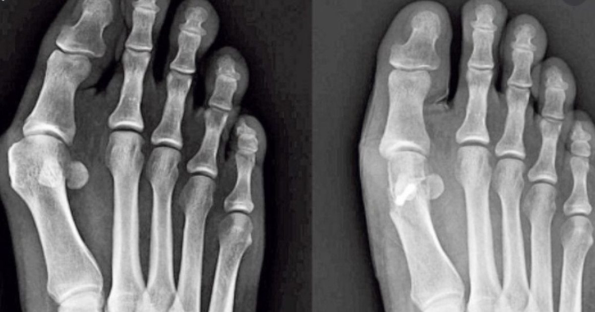
Haluks to wybrzuszenie, które wydaje się zaczerwienione lub spuchnięte u podstawy dużego palca u nogi. Gdy zgrubienie się pogłębia, paliczki u podstawy dużego palca mogą wystawać dalej. Objawy halluksów mogą być różne.
Wszystkie objawy haluksów są podobne. Można zaobserwować wybrzuszenie przy dużym palcu u nogi, zaczerwienienie, obrzęk i bolesność w miejscu haluksa. Wybrzuszenie może powodować, że osoba odczuwa drętwienie i mrowienie, a także zwiększony nacisk na palce.

Objawy te mogą być pogorszone przez chodzenie, ale odpoczynek jest często dobrym rozwiązaniem. Pierwsze leczenie dla guzka jest zwykle konserwatywne. Na przykład, noszenie wspierających butów, które mają większy toebox i dobrze dopasowane obuwie.
Stosowanie wkładek ortopedycznych, które są wyjmowanymi wkładkami do butów, które zapewniają większe wsparcie stopy. Niesteroidowe leki przeciwzapalne, takie jak ibuprofen, mogą być również stosowane w celu zmniejszenia obrzęku. Metody te mogą być stosowane w celu złagodzenia dyskomfortu i bólu spowodowanego przez haluksy.
Ważne informacje: Twój lekarz może zasugerować sposoby zmniejszenia ucisku i bólu. Obejmują one:
- Buty, które pozwalają stopom oddychać
- Aby działać jako bufor, dodaj podkładki lub poduszki pomiędzy zgrubieniami a butami.
- Zażywać dostępne bez recepty środki przeciwbólowe i leki przeciwzapalne.
Te środki mogą nie wystarczyć, aby Ci pomóc. Może być konieczna operacja. Możliwa jest operacja guza:
- Wyjąć zapalną tkankę wokół stawu palucha.
- Usunąć kość, aby wyprostować palec.
- Aby skorygować nietypowy kąt, wyrównać jedną lub więcej kości.
- Fuzja kości z różnych części stopy.
Podsumowanie
Nacisk wywierany przez Twoją stopę (mechanika stopy), lub kształt stóp (budowa stopy), powoduje przesunięcie dużego palca w kierunku halluksa. Halluks rozwija się powoli w czasie. Podczas gdy stanie przez dłuższy czas lub noszenie wąskich, zbyt ciasnych butów może powodować ból haluksów, w rzeczywistości nie są one jego przyczyną.
Możesz kontrolować problemy z ustawieniem butów za pomocą wkładek wykonanych na zamówienie lub dostępnych bez recepty. Między dużym i drugim palcem można umieścić wkładkę dystansową. Aby utrzymać duży palec u nogi prosto, niektórzy ludzie noszą szynę na czas snu.
